What is Gum Depigmentation?

Gum depigmentation is a cosmetic dental procedure used to remove or lighten dark pigmentation on the gums. This treatment enhances the appearance of your smile by restoring a healthy, pink gum color. Pigmentation can be caused by genetics, smoking, or excess melanin production.

Why Choose A & M Dental Station for Gum Depigmentation?

At A & M Dental Station, located in Sector 70, Noida, we offer advanced gum depigmentation treatments using laser technology and minimally invasive procedures. Our expert dental team ensures a comfortable, effective, and long-lasting result to enhance your smile aesthetics.

Who Needs Gum Depigmentation?

Gum Depigmentation Treatment Options

Benefits of Gum Depigmentation

Our Gum de pigmentation Treatments

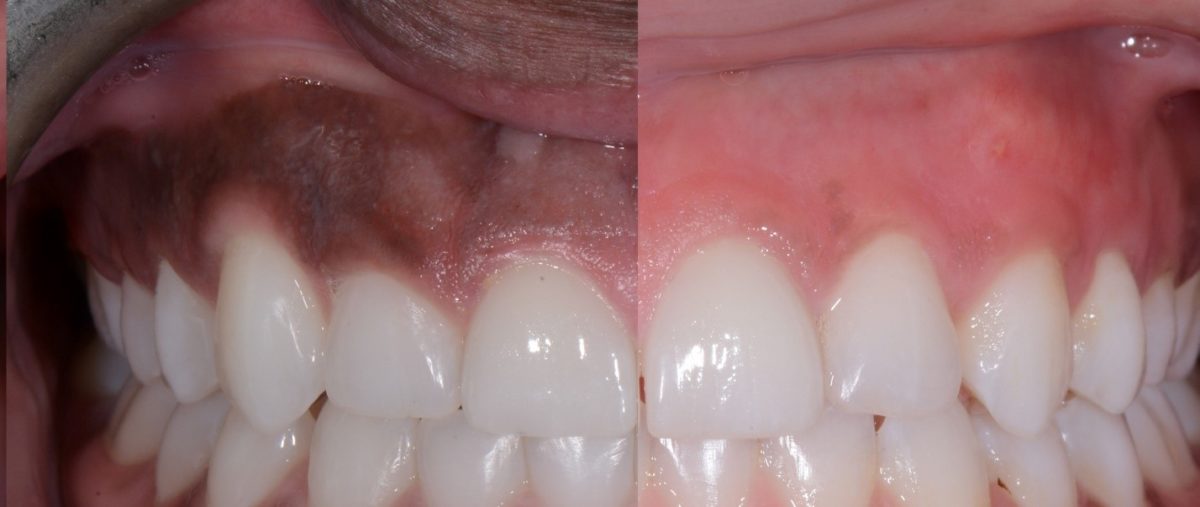
Gum depigmentation by A&M Dental Station
Gum depigmentation by Dr. Avneesh kr. Sharma
Gum depigmentation in Noida, Sector 70
Gum depigmentation in Noida, Sector 70

Book Your Appointment for Gum Depigmentation

Get rid of dark or discolored gums with expert gum depigmentation treatment at A & M Dental Station, Sector 70, Noida. Contact us today to enhance your smile!

📍 Location: A & M Dental Station, Sector 70, Noida

Tags: #GumDepigmentation #PinkGums #SmileAesthetics #DentalCare #Noida #AMDentalStation #CosmeticDentistry #HealthySmile

Noida Location

BH-68, Sector 70, Noida, Basi Bahuddin Nagar, Uttar Pradesh 201301

Phone: +91 9999970388

Email: doctoravneesh@gmail.com

Delhi Location

first floor, A-17, opposite lenskart and bata store, Block B, Acharya Niketan, Mayur Vihar, Delhi, 110091

Phone: +91 9999970388

Email: doctoravneesh@gmail.com

WhatsApp Chat